238 Main Street, Loganville, GA 30052
Link to our Google Maps page
Link to our Facebook page
Link to our Yelp page
(770) 466-2231
Request Appointment
Map
Appt
Mail
Call
Menu
Home
Meet Our Team
Meet Dr. James
Meet Dr. Carithers
Meet Our Team
Dental Services
Cleaning & Prevention
Cosmetic Procedures
Restorative Procedures
Dental Implants
Tooth Extractions
Sedation Dentistry
Pediatric Dentistry
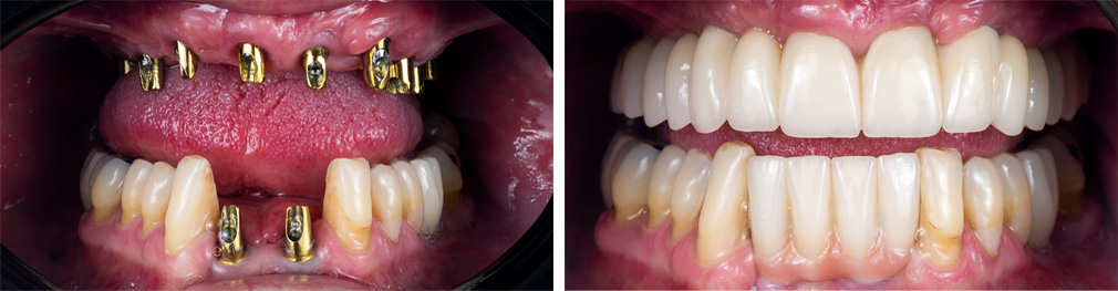
Smile Gallery
Patient Center
First Visit
New Patient Forms
Office Policies
Common Questions
Patient Testimonials
Emergency Care
Location
Review Us
Contact Us
Smile Gallery
Teeth Whitening
Crown
Implants and Crowns
Ceramic Crowns
Gum Treatment
Scroll to Top